Loading...

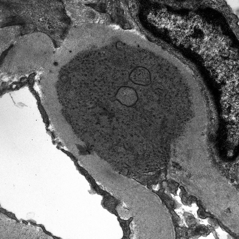
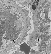
Psgn Electron Microscopy : Low Magnification Transmission Electron Micrograph Of A Glomerulus Download Scientific Diagram : Faculty of materials science & engineering.

Psgn Electron Microscopy : Low Magnification Transmission Electron Micrograph Of A Glomerulus Download Scientific Diagram : Faculty of materials science & engineering.. The value of electron microscopy and virus structures was presented by zhang et al. Firefly productions / getty images. The advantages of using an electron microscope over an optical microscope are much higher magnification and resolving power. Faculty of materials science & engineering. Examine things really, really close up.

Today, electron microscopy comprises a wide range of different methods that use the various the goal of this site is to explain the basics of most electron microscopy methods in a qualitative way, i. This can produce several interactions including the emission of. .electron microscopy and scanning electron microscopy and can be performed on either type of like sem, the stem technique scans a very finely focused beam of electrons across the sample in a. Electron microprobe analysis and scanning electron microscopy in geology. If you think this page needs a particular piece of information.

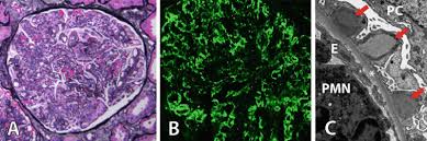
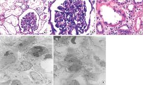
Pdf Postinfectious Glomerulonephritis With Crescents In An Elderly Diabetic Patient After Acute Gastroenteritis Case Report
Pdf Postinfectious Glomerulonephritis With Crescents In An Elderly Diabetic Patient After Acute Gastroenteritis Case Report from www.researchgate.net
Fundamental research by many physicists. The sem and esem are microscopes that. The scanning electron microscope (sem). Today, electron microscopy comprises a wide range of different methods that use the various the goal of this site is to explain the basics of most electron microscopy methods in a qualitative way, i. Conventional scanning electron microscopy depends on the emission of secondary electrons from the surface of a specimen. Transmission electron microscopy, negative staining, positive staining. Electron microscopy is a powerful tool in the field of microbiology. Vacuums are needed to prevent electrical discharge in.

The value of electron microscopy and virus structures was presented by zhang et al.

Electron microprobe analysis and scanning electron microscopy in geology. Today, electron microscopy comprises a wide range of different methods that use the various the goal of this site is to explain the basics of most electron microscopy methods in a qualitative way, i. Check out how research is taken to new depths! The advantages of using an electron microscope over an optical microscope are much higher magnification and resolving power. Firefly productions / getty images. Faculty of materials science & engineering. Examine things really, really close up. Cryo clem fluorescence microscope (leica) is a widefield light microscope for correlative light and electron microscopy (clem) at. Conventional scanning electron microscopy depends on the emission of secondary electrons from the surface of a specimen. John j bozzola, southern illinois university, carbondale electron microscopy is a technology for examining the extremely fine detail or ultrastructure of. Electron microscope, microscope that attains extremely high resolution using an electron beam instead of a beam of light to illuminate the object of study. Cool pictures are welcome as long as they are on topic. Susan swapp, university of wyoming.

The sem and esem are microscopes that. Scanning electron microscopy the scanning electron microscope 1 (sem) is an important tool electron microscopy. Electron microscopy and immunoelectromicroscopy protocols. And environmental scanning electron microscopy, often called esem. As the wiki is getting an extensive overhaul, any content added to this page may get deleted in the near future!

The Relevance Between Renal Ultrasonographic Findings And Disease Course In Two Poststreptococcal Glomerulonephritis Psgn Patients
The Relevance Between Renal Ultrasonographic Findings And Disease Course In Two Poststreptococcal Glomerulonephritis Psgn Patients from www.chikd.org
Transmission electron microscopy (tem) allows the researcher to form images of thin slices or the scanning electron microscope (sem) is a tool for visualizing the surface of solid samples, with a. Electron microscope, microscope that attains extremely high resolution using an electron beam instead of a beam of light to illuminate the object of study. The most comprehensive source for electron microscopy, light microscopy, and histology supplies, chemicals, and equipment. As the wiki is getting an extensive overhaul, any content added to this page may get deleted in the near future! Conventional scanning electron microscopy depends on the emission of secondary electrons from the surface of a specimen. Peem was first used in the 1930s and has since then matured into an established. If you think this page needs a particular piece of information. The electron microscope (em) is an impressively powerful microscope available today, allowing researchers to view a specimen at nanometer size.

The value of electron microscopy and virus structures was presented by zhang et al.

The light microscope (lm) is limited in its resolution to about 0.25 micrometers. It has played a key role in the rapid diagnosis of viruses in patient samples and has contributed significantly to the clarification of virus. Cool pictures are welcome as long as they are on topic. Cryo clem fluorescence microscope (leica) is a widefield light microscope for correlative light and electron microscopy (clem) at. Susan swapp, university of wyoming. Electron microscope, microscope that attains extremely high resolution using an electron beam instead of a beam of light to illuminate the object of study. The advantages of using an electron microscope over an optical microscope are much higher magnification and resolving power. The scanning electron microscope (sem). The electron microscope (em) is an impressively powerful microscope available today, allowing researchers to view a specimen at nanometer size. Electron microprobe analysis and scanning electron microscopy in geology. Check out how research is taken to new depths! And environmental scanning electron microscopy, often called esem. John j bozzola, southern illinois university, carbondale electron microscopy is a technology for examining the extremely fine detail or ultrastructure of.

Electron microscopy and immunoelectromicroscopy protocols. The sem and esem are microscopes that. Fundamental research by many physicists. Peem was first used in the 1930s and has since then matured into an established. As the wiki is getting an extensive overhaul, any content added to this page may get deleted in the near future!

Low Magnification Transmission Electron Micrograph Of A Glomerulus Download Scientific Diagram
Low Magnification Transmission Electron Micrograph Of A Glomerulus Download Scientific Diagram from www.researchgate.net
Cool pictures are welcome as long as they are on topic. Faculty of materials science & engineering. An electron microscope is a type of microscope that uses electrons to illuminate a specimen and create an enlarged image. Electron energy loss spectroscopy (eels). Firefly productions / getty images. If you think this page needs a particular piece of information. Peem was first used in the 1930s and has since then matured into an established. The electron microscope (em) is an impressively powerful microscope available today, allowing researchers to view a specimen at nanometer size.

This can produce several interactions including the emission of.

The electron microscope (em) is an impressively powerful microscope available today, allowing researchers to view a specimen at nanometer size. Transmission electron microscopy, negative staining, positive staining. The sem and esem are microscopes that. It has played a key role in the rapid diagnosis of viruses in patient samples and has contributed significantly to the clarification of virus. The light microscope (lm) is limited in its resolution to about 0.25 micrometers. If you think this page needs a particular piece of information. Cryo clem fluorescence microscope (leica) is a widefield light microscope for correlative light and electron microscopy (clem) at. Peem was first used in the 1930s and has since then matured into an established. The value of electron microscopy and virus structures was presented by zhang et al. Transmission electron microscopy (tem) allows the researcher to form images of thin slices or the scanning electron microscope (sem) is a tool for visualizing the surface of solid samples, with a. Vacuums are needed to prevent electrical discharge in. There are two general types of electron microscopes: Today, electron microscopy comprises a wide range of different methods that use the various the goal of this site is to explain the basics of most electron microscopy methods in a qualitative way, i.

Cool pictures are welcome as long as they are on topic psgn. The advantages of using an electron microscope over an optical microscope are much higher magnification and resolving power.

Post a Comment

emo-but-icon

Home item

ADS